Asimetrías faciales: ortodoncia y cirugía ortognática
Análisis
El paciente acudió a consulta para valoración y tratamiento de deformidad dentofacial, consistente en asimetría maxilar y mandibular y síndrome de dolor disfunción temporomandibular del lado izquierdo.
La exploración demostraba una importante asimetría con desviación mandibular hacia la izquierda e importante inclinación del plano oclusal. Además la articulación temporomandibular izquierda sufría bloqueo articular con reducción y episodios intermitentes de dolor e incapacidad funcional. Existían múltiples compensaciones dentarias por lo que fue enviado al ortodoncista para su correcta preparación preoperatoria.
Anamnesis
Nombre: C.G.
Edad: 34 años y 9 meses.
Historia médica: Sin interés
Motivo de consulta: Remitido por su cirujano maxilofacial por su asimetría.
Diagnóstico
1. Análisis extraoral
- Asimetría facial: Desviación del mentón hacia la izquierda.
- Tercios faciales proporcionados.
- Adecuada exposición de incisivos en reposo y sonrisa.
- En sonrisa se observa la inclinación del plano oclusal superior, así como de la línea media dentaria superior.
- Perfil recto.
- Escaso contorno mandibular.
- Doble papada por exceso de depósito de grasa submental.
2. Análisis radiográfico
2.1. Ortopantomografía:
- Dentición permanente.
- Alteración morfológica en el cóndilo izquierdo que además es de menor tamaño.
- Presencia de los cordales erupcionados.
2.2. Telerradiografía lateral de cráneo y trazado cefalométrico:
- Mesofacial.
- Clase I ósea.
- Incisivos correctamente ubicados respecto a sus bases óseas.
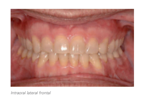
3. Análisis intraoral
- Desviación de la línea media inferior hacia la izquierda 2,5 mm de causa ósea (alteración de la morfología y tamaño del cóndilo izquierdo).
- Inclinación del plano oclusal anterior y posterior.
- Compensaciones dentoalveolares a la asimetría en ambas arcadas:
- Primer y tercer cuadrantes con torque corono lingual excesivo (a excepción del 38 que presenta una torsión corono vestibular acusada).
- Segundo y cuarto cuadrantes con torque corono vestibular acusado, siendo más marcado a nivel del 48.
- Resalte canino derecho aumentado. Resalte canino izquierdo disminuido.
- Mordida cruzada de 18-48 y 28-38.
- Resalte: 2,5 mm.
- Discrepancia óseo-dentaria positiva en ambas arcadas.
- Discrepancia de Bolton superior por defecto maxilar.
- Lado derecho: Clase III molar y Clase I canina.
- Lado izquierdo: Clase I molar y canina.
- Sobremordida: 2 mm.
Estudio inicial




Montaje en articulador


Plan de tratamiento
Una vez identificada la etiología esquelética de la asimetría, así como las compensaciones dentoalveolares generadas, se le propuso al paciente un tratamiento combinado de ortodoncia y cirugía ortognática en el cual la fase de ortodoncia prequirúrgica consistiría en:
- Eliminar o reducir de las compensaciones dentoalveolares presentes en ambas arcadas.
- Abrir espacios distal a los incisivos laterales superiores para su posterior reconstrucción con composite con objeto de adecuar el tamaño dentario superior al inferior.




Cirugía
Bajo anestesia general se realizó intubación nasotraqueal.
Se realizó osteotomía Lefort I multisegmentada para conseguir expansión y nivelar la arcada superior. Se consideró como plan más estético el descender el maxilar superior izquierdo, utilizando como filtro el maxilar derecho y se colocaron cuñas de hidroxiapatita no reabsorbibles que descendía el maxilar posterior izquierdo 6 mm a la altura del primer molar y 3 mm a la altura del canino. El maxilar derecho pivotó a la altura del primer molar y el maxilar fue avanzado 6 mm sagitalmente.
Las osteotomías fueron fijadas rígidamente con placas y tornillos sobre la férula intermedia.
Posteriormente se comprobó la adaptación pasiva a la férula intermedia y se realizó septoplastia.
Una vez fijado el maxilar, se generó un importante contacto prematuro en el lado izquierdo por el descenso maxilar, que posterorrotaba la mandíbula aumentando así la magnitud de traslación de izquierda a derecha a realizar por la mandíbula.
El segmento mandibular izquierdo avanzó 11 mm y giró antihorariamente y el segmento derecho al centrar avanzó 3 mm para obtener oclusión con el maxilar avanzado sagitalmente.
Las osteotomías se fijaron con placas y tornillos bicorticales.
Finalmente se realizó genioplastia de avance, traslación a la derecha y aumento vertical.
El postoperatorio cursó con inflamación moderada y fue dado de alta hospitalaria a las 36 horas.
Estudio final








Discusión
Las caras raramente son simétricas. Las asimetrías deben considerarse en las tres dimensiones. En este caso, incluía maxilar y mandíbula con una inclinación importante del plano oclusal. En la preparación de estos casos, se deben tener en cuanta tanto la inclinación anterior como la posterior del plano, junto con la del reborde mandibular.
La inclinación maxilar se evalúa clínicamente sobre una medición en los cantos internos. Si estos son simétricos y no existen alteraciones orbitarias posteriormente se comprueba sobre los modelos articulados en un articulador con transferencia de arco facial.
En este paciente y tras un minucioso estudio, se decidió resolver la inclinación descendiendo el maxilar para alargar la cara y proyectar sagitalmente el maxilar y seguidamente la mandíbula. Se tomó como punto de fulcro el lado contralateral.
La mandíbula en el lado izquierdo al posterorrotarse, precisó un importante avance para conseguir el centrado y se utilizó fijación extremadamente rígida.
La genioplastia terminó por centrar el mentón y alargarlo.
Se consiguió así alterar la inclinación y concomitantemente alargar el tercio inferior de la cara, resultando una cara más larga, sin estigmas de cara larga y junto con el avance de los maxilares se aumentó el soporte esquelético, produciéndose un mejor soporte de tejidos blandos y, por supuesto, también se consiguió una cara simétrica.
El examen pues de la cara y el conocimiento de las repercusiones que originan los cambios verticales de maxilar sobre la mandíbula a la hora de, posteriormente, trasladarla horizontalmente, son la clave para mejorar el balance y armonía de la cara, al mismo tiempo consiguiendo expansión esquelética.
Técnicamente, el manejo de los ángulos mandibulares en estas alteraciones tridimensionales, es complicado y con frecuencia, necesita modificaciones del diseño de la osteotomía sagital de Obwegsser.
Comparativa prequirúrgico/situación final


César Colmenero Ruiz, Fe Serrano Madrigal, Javier Prieto Serrano, Martínez Iturriaga
Bibliografía
- Reyneke JP. Essentials of orthognatic surgery, pp. 240-245.
- Buton KW. The use os triangle analysis cephalometric analysis in three dimensions J. Oms 1984, cap. 12, pp. 62-70
- Rosen HN. Aesthethic refinements in genioplasty the role of facial disfuntion. PRS. 95, pp. 463-471, 1995.
- Obwegesser HL. Mandibular grouth anomalies. Rou 2, pp. 215-231.

/public-service/media/default/441/aBfuN_671a1780ddf66.png)