/education-service/media/default/68980/6b717c1f.jpg)
Centro de videos clínicos
Mire durante 24 horas o sin límites con Premium.
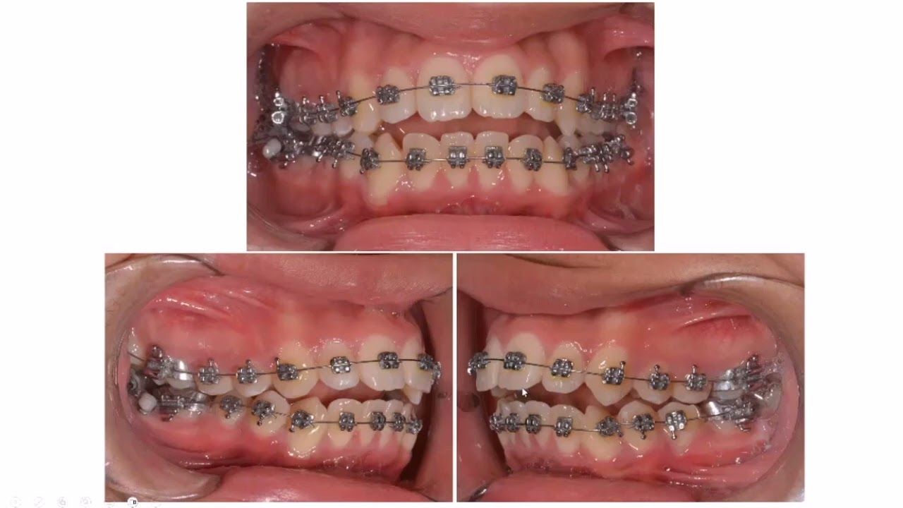
Cómo es una maloclusión Clase II angulo alto
/education-service/media/default/67073/5879888c.jpg)
Luis Fernando Pérez Vargas
Detalles del curso
Conferencistas
Detalles
Programa de lecciones
Clasificar las maloclusiones para orientar el tratamiento es una de las máximas en Wikiortodoncia
Aprenda de manera simple a diagnosticar una maloclusion de clase II angulo alto
Conferencistas 1
Cirujano Dentista, Magíster en Estomatología, Doctor en Ciencias de la Salud y Especialista en Ortodoncia graduado en la Universidad Nacional Mayor de San Marcos.
Miniresidencia en Ortodoncia en la UIC Chicago, USA.
Profesor de Pregrado y Postgrado en la Facultad de Odontología de la UNMSM.
Docente Investigador del Instituto de Investigación Estomatológica de la Facultad de Odontología de la UNMSM.
Past-Presidente de la Asociación Iberoamericana de Ortodoncistas, Capítulo Peruano.
Organizador

OHI-S
4.72 (25412 votos)
OHI-S is the world's leading educational platform for dentists worldwide!
Our core product is training led by the top global speakers in all branches of dentistry. On our platform, you will find courses covering every dental specialty. We offer a comprehensive range of educational formats: congresses, seminars, hands-on workshops, and online courses.
We provide education in 7 languages: English, Spanish, Portuguese, German, French, Ukrainian, Russian.
Our offline projects take place in the most picturesque locations around the world: Kyoto, Florence, Rome, Bologna, Vienna, Berlin, and Prague. Our clients always have a unique opportunity to combine acquiring valuable knowledge with experiencing rich cultural environments.
OHI-S is not just a platform, it’s an entire ecosystem for professionals. Our mobile application, marketplace, and specialized social network connect dentists from all corners of the globe, creating a powerful community for knowledge exchange and collective growth.

/education-service/media/default/67073/5879888c.jpg)