/education-service/media/default/4869/479918a1.jpg)
Archivado.
Este contenido no está a la venta. Puedes elegir materiales de formación en nuestro catálogo.
Цикл вебинаров по прямой реставрации
/education-service/media/default/34063/daa32186.jpg)
Jason Smithson
/education-service/media/default/46073/e910c1e4.jpg)
Jordi P. Manauta
/education-service/media/default/34064/be59fd40.jpg)
Javier Tapia-Guadix
Detalles del curso
Lecciones del curso
Lecciones del curso
Conferencistas
Detalles
6 lecciones (9h 40m)
Ruso
Descripción
Lección 1.Лайфхаки прямой реставрации для выхода из сложных и нестандартных ситуаций (часть 1)
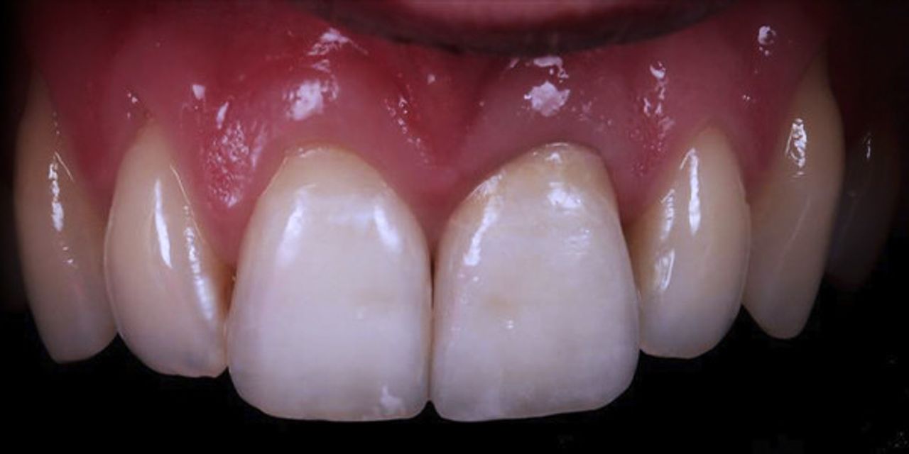
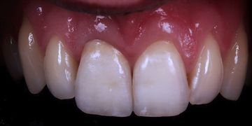
Основные форма и оттенок: рецепты успеха использования композитных материалов. Лечение сложных клинических случаев всегда начинается и заканчивается с реставрационной стоматологии, невозможно получить должный результат, если не спланирована адгезивная стоматология. Часто можно услышать, что работу с композитными материалами тяжело спланировать и выполнить, а также получить достойный результат. Также можно услышать, что упрощение работы явно не для реставрационной стоматологии. И это утверждение не может быть более ошибочным! В ходе этой лекции мы узнаем, как упрощение может привести вас на путь успеха: от цифрового и аналогового подбора цвета будущей реставрации, до клинических советов и рекомендаций по работе с композитами и доработке для создания безупречной формы. Мы узнаем, что импровизация должна быть полностью исключена, и для этой цели всегда будет идеально иметь “рецепт” и решить Ваш самый сложный случай, четко следуя протоколам.
- Преодоление трудностей при прямой реставрации- Композитные материалы- Подбор цвета- Послойное нанесение композитных материалов- Поверхность и морфология- Финишная обработка реставрации- Долговечность прямой реставрации
Lección 2.Лайфхаки прямой реставрации для выхода из сложных и нестандартных ситуаций (часть 2)
Основные форма и оттенок: рецепты успеха использования композитных материалов. Лечение сложных клинических случаев всегда начинается и заканчивается с реставрационной стоматологии, невозможно получить должный результат, если не спланирована адгезивная стоматология. Часто можно услышать, что работу с композитными материалами тяжело спланировать и выполнить, а также получить достойный результат. Также можно услышать, что упрощение работы явно не для реставрационной стоматологии. И это утверждение не может быть более ошибочным! В ходе этой лекции мы узнаем, как упрощение может привести вас на путь успеха: от цифрового и аналогового подбора цвета будущей реставрации, до клинических советов и рекомендаций по работе с композитами и доработке для создания безупречной формы. Мы узнаем, что импровизация должна быть полностью исключена, и для этой цели всегда будет идеально иметь “рецепт” и решить Ваш самый сложный случай, четко следуя протоколам.
- Преодоление трудностей при прямой реставрации- Композитные материалы- Подбор цвета- Послойное нанесение композитных материалов- Поверхность и морфология- Финишная обработка реставрации- Долговечность прямой реставрации
Lección 3.Протоколы Биоэмуляции для подбора оттенков в стоматологии
Стратегии выбора реставрационного материала
Понимание взаимодействия света со структурами зуба, а также правильных гистоанатомических принципов имеет ключевое значение для стратегии выбора материала и оттенка во время проведения реставраций. Структуры зуба образуют сложную оптическую среду во время прохождения света через эмаль, эмалево-дентинную границу и сам дентин. С годами оптические свойства зуба меняются, так как ткани изменяются в морфологии и составе.
Философия концепции Биоэмуляции
Подход Биоэмуляции изменил основные критерии для репликации природных структур зуба, которые следует учитывать при воспроизведении натуральных структур зуба с помощью стоматологических материалов. Концепция Penta Laminar представляет собой финальное воплощение этой философии: анализ различных этапов старения для создания динамической концепции оттенка, адаптирующегося к природному цвету зубов. Тем не менее, целесообразность применения этой концепции весьма сомнительна из-за сложности её применения во всех клинических состояниях. Анализируя ключевые факторы процесса старения естественной структуры зубов и применяя эти знания в выборе материала, можно упростить эти методы, чтобы сделать их доступными в любых клинических ситуациях.
Изучив техники Bi-Laminar и Penta Laminar, мы можем узнать, как адаптировать нашу работу для оптимизации клинического результата при создании экономически эффективных методов лечения, которые удовлетворят потребности и ожидания наших пациентов. Определение правильных стратегий выбора оттенков композитов и керамики имеет первостепенное значение в нашей ежедневной работе. Подход Биоэмуляции предоставляет специальные инструменты, разработанные для значительного повышения точности подбора оттенков, включая вкладки оттенков custom eyes, а также «современный» протокол eLAB для керамики.
В конечном счете, успешное лечение всегда будет зависеть от хорошего контакта с пациентом и идеальной командной работы стоматолога и зубного техника.
Lección 4.Как воспроизвести старение зубов при помощи композита: трудности и возможности
Концепция Penta Laminar для воспроизведения старения зубов
Согласно структурному анализу и визуальному синтезу, подход Биоэмуляции изменил основные критерии для репликации природных структур зуба с композитом. Концепция Penta Laminar представляет собой финальное воплощение этой философии: анализ различных этапов старения для создания динамической концепции оттенка, адаптирующегося к природному цвету зубов.
Упрощенное воспроизведение старения зубов
Тем не менее, целесообразность применения этой концепции весьма сомнительна из-за сложности её применения во всех клинических состояниях. Анализируя ключевые факторы процесса старения естественной структуры зубов и применяя эти знания в выборе материала, можно упростить эти методы, чтобы сделать их доступными в любых клинических ситуациях. Изучив техники Bi-Laminar и Penta Laminar, мы можем узнать, как адаптировать нашу работу для оптимизации клинического результата при создании экономически эффективных методов лечения, которые удовлетворят потребности и ожидания наших пациентов.
Lección 5.Прямая реставрация при лечении патологической стираемости зубов
В реставрационной стоматологии практически повсеместно используются композитные материалы, и большинство стоматологов достаточно смело подходят к лечению I, II и IV классов, а также к изготовлению виниров. Однако, когда встречается сложный случай, где должны применяться междисциплинарные подходы, в целом ситуации становится еще более сложной.
Как мы используем минимально инвазивные техники при лечении патологической стираемости зубов?
Что если зубы имеют поворот, наклон или смещение?
Эта быстро развивающаяся, практичная, основанная на фактических данных лекция направлена на то, чтобы вооружить опытного специалиста знаниями и инструментами, позволяющими уверенно подходить к более сложным случаям.
Что Вы узнаете:
- Работа с окклюзией при помощи прямых реставраций: комплексная реорганизация передней направляющей.
- Работа с дисколоритом зубов: ночное отбеливание девитальных зубов в сочетании с прямой реставрацией.
- Лечение шиповидных зубов и микродентии
- Классификация диастем и способы ее закрытия. Как закрыть диастему без выведения материала за ее пределы.
- Простые, интуитивно понятные протоколы финишной обработки, которые позволяют стоматологу добиться естественного блеска.
Lección 6.Лечение шиловидных зубов и микродентии
В реставрационной стоматологии практически повсеместно используются композитные материалы, и большинство стоматологов достаточно смело подходят к лечению I, II и IV классов, а также к изготовлению виниров. Однако, когда встречается сложный случай, где должны применяться междисциплинарные подходы, в целом ситуации становится еще более сложной.
Как мы используем минимально инвазивные техники при лечении патологической стираемости зубов?
Что если зубы имеют поворот, наклон или смещение?
Эта быстро развивающаяся, практичная, основанная на фактических данных лекция направлена на то, чтобы вооружить опытного специалиста знаниями и инструментами, позволяющими уверенно подходить к более сложным случаям.
Что Вы узнаете:
- Работа с окклюзией при помощи прямых реставраций: комплексная реорганизация передней направляющей.
- Работа с дисколоритом зубов: ночное отбеливание девитальных зубов в сочетании с прямой реставрацией.
- Лечение шиповидных зубов и микродентии
- Классификация диастем и способы ее закрытия. Как закрыть диастему без выведения материала за ее пределы.
- Простые, интуитивно понятные протоколы финишной обработки, которые позволяют стоматологу добиться естественного блеска.
El curso incluye las siguientes lecciones:
Mostrar más (2)
Conferencistas 3
Qualified at the Royal London Hospital in 1995; achieving a number of awards including The Constance Klein Memorial, The Stafford Millar, and The Malcolm Jenkins Scholarships, The American Association of Endodontics Prize and the Overall Award for Clinical Dentistry.
After spending 3 years in oral surgery residency in London and a further year practicing restorative dentistry in London’s Harley Street Medical District, he relocated to Cornwall in the extreme southwest of England. Jason practices at Revitalise, Cornwall, UK where his main focus is microscope enhanced adhesive dentistry.
His specific interest is direct composite resin artistry and minimally invasive all ceramic restorations and he has presented to dentists locally, nationally and internationally (USA, Canada, Australia, New Zealand, South East Asia and Europe) on this topic.
He has given hands on programs in the UK, Europe, Asia, and North America on behalf of GC, Ivoclar, Kerr, Kulzer, Optident, Micerium, Carl Zeiss, Zumax, Global, Velopex and Triodent. He is a European Key Opinion Leader for Kulzer and is a member of the European Prosthodontic Advisory Board for GC Europe. Jason is Resident Faculty at The Centre for Esthetic Excellence, Chicago, USA. He is an Accredited International Trainer for Carl Zeiss Dental Academy.
Jason has achieved Diplomat Status in Restorative Dentistry from the Royal College of Surgeons (England).
He is on the Editorial Board of The Russian Journal of Esthetic Dentistry and has published numerous peer-reviewed articles on adhesive and aesthetic dentistry in both the UK and abroad. He is joint author of Vertical Margin Finish Lines In Fixed Prosthodontics
Dentista estético especializado en restauraciones directas de composite y odontología mínimamente invasiva. Práctica privada en Italia enfocada en estética anterior y técnicas restauradoras biomiméticas.
Más de 15 años de experiencia clínica en restauraciones directas avanzadas utilizando técnicas de estratificación y enfoques de estratificación natural. Miembro del grupo de estudio Styleitaliano desde 2008, colaborando en protocolos clínicos innovadores para resultados estéticos predecibles con materiales de composite.
Conferenciante internacional y profesor visitante en universidades de Sevilla, Siena, Marsella, Lisboa y Valencia. Desarrolla materiales e instrumentos para odontología estética y fotografía clínica en colaboración con empresas internacionales. Consultor científico de revistas dentales europeas.
Odontólogo de la Universidad Tecnológica de México (UNITEC) con becas importantes. Máster en odontología operatoria y estética de la Universidad Internacional de Cataluña (UIC), Barcelona, España. Autor del libro de texto "Layers" (Quintessence, 2012) y coautor de numerosas publicaciones en revistas internacionales sobre restauraciones directas y odontología estética.
Especialista en odontología restauradora y estética con enfoque en enfoques biomiméticos, técnicas mínimamente invasivas y tecnologías dentales digitales. Fundador y CEO de Juice Dental Media Design, empresa multimedia dental especializada en ilustración, animación y desarrollo de aplicaciones para educación y comunicación dental. Cofundador de Bio-Emulation group (2011) con Panaghiotis Bazos y Gianfranco Politano, promoviendo odontología restauradora biológicamente dirigida mundialmente. Mantiene práctica privada en Madrid, España, enfocada en odontología restauradora y estética.
Más de 20 años de experiencia clínica en restauraciones estéticas directas e indirectas usando técnicas de estratificación biomimética, protocolos adhesivos y principios de ciencia del color. Experto en fotografía dental, diseño de sonrisa digital y comunicación visual para casos estéticos. Pionero en desarrollar herramientas digitales y recursos educativos para enseñar conceptos dentales complejos mediante medios visuales.
Miembro de GC Europe Restorative Advisory Board (desde 2010), colaborando en desarrollo de productos e iniciativas educativas. Official Reviewer para Journal of Clinical and Experimental Dentistry (desde 2014) e International Journal of Esthetic Dentistry (desde 2017). Receptor de Collegiate Merit Award de Spanish College of Dentists, 1st Region (2005), por contribuciones a Commission of New Technologies. Conferenciante internacional con participación en más de 250 congresos, cursos prácticos y demostraciones en vivo en seis continentes. Publicó numerosos artículos en revistas internacionales revisadas por pares sobre odontología restauradora, fotografía dental, aplicaciones informáticas en odontología y técnicas biomiméticas. Consultor y desarrollador de productos para principales empresas dentales incluyendo GC, Polydentia y Tokuyama.
DDS de European University of Madrid, España (2003). Associate Professor en Department of Prosthodontics en European University of Madrid (2004). Formación profesional en gráficos por computadora, animación 3D y producción multimedia. Educación continua nivel maestría en fotografía dental y odontología estética con principales expertos internacionales.
Organizador

OHI-S
4.72 (25399 votos)
OHI-S is the world's leading educational platform for dentists worldwide!
Our core product is training led by the top global speakers in all branches of dentistry. On our platform, you will find courses covering every dental specialty. We offer a comprehensive range of educational formats: congresses, seminars, hands-on workshops, and online courses.
We provide education in 7 languages: English, Spanish, Portuguese, German, French, Ukrainian, Russian.
Our offline projects take place in the most picturesque locations around the world: Kyoto, Florence, Rome, Bologna, Vienna, Berlin, and Prague. Our clients always have a unique opportunity to combine acquiring valuable knowledge with experiencing rich cultural environments.
OHI-S is not just a platform, it’s an entire ecosystem for professionals. Our mobile application, marketplace, and specialized social network connect dentists from all corners of the globe, creating a powerful community for knowledge exchange and collective growth.

/education-service/media/default/486/f78fa6b4.jpg)
/education-service/media/default/16899/abed6cea.jpg)
/education-service/media/default/16898/90b6203f.jpg)
/education-service/media/default/16897/7b2701dc.jpg)
/education-service/media/default/34063/daa32186.jpg)
/education-service/media/default/46073/e910c1e4.jpg)
/education-service/media/default/34064/be59fd40.jpg)