Flujo de trabajo completamente digital para la carga inmediata de prótesis atornilladas de titanio-resina en conectores de nivel tisular Morse: resultados a 1 año post-carga de una serie de casos.
Traducción automática
El artículo original está escrito en idioma EN (enlace para leerlo) .
Propósito: Evaluar el rendimiento clínico de un flujo de trabajo completamente digital para prótesis de arco completo atornilladas en conectores de nivel de tejido de cono Morse en la instalación del implante y no retiradas.
Materiales y métodos: En esta serie de casos, se rehabilitaron pacientes edéntulos con prótesis de implante de arco completo cargadas inmediatamente en conectores de nivel de tejido de cono Morse. Todos los procedimientos se realizaron utilizando un protocolo completamente digital. Las medidas de resultado primarias fueron las tasas de supervivencia de implantes y prótesis y las complicaciones. La medida de resultado secundaria fue la pérdida ósea marginal peri-implantaria.
Resultados: Nueve pacientes recibieron 52 implantes que soportaban 10 prótesis de titanio-resina de arco cruzado, siete en la mandíbula inferior y tres en la mandíbula superior. Un año después de la colocación de la prótesis, ningún paciente abandonó, no hubo fallos de implantes o prótesis, y no ocurrió ninguna complicación biológica. Solo ocurrieron dos pequeñas astillas de resina en dos pacientes diferentes. Sin embargo, las dos primeras prótesis prefabricadas a través de un flujo de trabajo completamente digital (para ser colocadas en dos pacientes consecutivos) no encajaron en los conectores de nivel de tejido de cono Morse. El desajuste se resolvió mediante un recubrimiento de resina intraoral después de la extracción del pilar de la prótesis, que se atornilló directamente a los conectores de nivel de tejido. Después de estos dos desajustes consecutivos, se cambió el protocolo: se tomó una impresión física intraoral y las otras ocho prótesis de arco cruzado se colocaron 24 horas después de la cirugía. Un año después de la carga, la pérdida ósea marginal media a nivel del paciente fue de 0.07±0.02 mm (IC del 95%: 0.05-0.08).
Conclusiones: Los protocolos totalmente digitales aún presentan diversas limitaciones cuando se utilizan en rehabilitaciones complejas.
Introducción
El edentulismo sigue siendo una enfermedad oral grave que afecta a millones de personas debido a la falta de dentición y a los problemas funcionales y estéticos que conlleva. Sin embargo, las prótesis fijas soportadas por implantes se consideran una solución eficiente para restaurar la estética y la función de mandíbulas totalmente edéntulas, y mejorar significativamente la calidad de vida de los pacientes.
Hoy en día, hay un interés creciente en la cirugía mínimamente invasiva combinada con un flujo de trabajo totalmente digital.
Un protocolo quirúrgico-protésico guiado por computadora ofrece varios beneficios clínicos, ayudando a los clínicos a planificar virtualmente la posición y dirección ideal del implante, teniendo en cuenta las estructuras anatómicas del paciente y los parámetros protésicos.
Asimismo, el desarrollo de equipos dentales digitales, como la tomografía computarizada de haz cónico, escáneres intraorales y software especializado que permite la planificación virtual de implantes, ha mejorado la colocación guiada de implantes, haciéndola más segura, simple y precisa. El flujo de trabajo totalmente digital se ha desarrollado con el objetivo de hacer que estos procedimientos sean más predecibles y menos invasivos, y de requerir menos tiempo en la silla y menos citas.
Para tener éxito a lo largo del tiempo, una prótesis soportada por implantes necesita respetar algunos requisitos, en particular el ajuste pasivo del marco, porque un mal ajuste de la prótesis puede llevar a complicaciones mecánicas y biológicas. Al igual que con cualquier método, el flujo de trabajo completamente digital presenta algunas desventajas, como una curva de aprendizaje y costos, pero otros problemas están relacionados con la precisión de la colocación de implantes utilizando un protocolo completamente digital versus planificación virtual y toma de impresiones.
En este contexto, el objetivo de esta serie de casos fue evaluar el rendimiento de prótesis de arco completo atornilladas en pilares de cono Morse conectados en la instalación del implante y no retirados, con todo el protocolo basado en un flujo de trabajo digital. Este estudio se informa de acuerdo con las directrices STROBE (https://www.strobe-statement.org/checklists/).
Materiales y métodos
Los pacientes fueron tratados en un centro privado en Cerdeña (Italia) desde marzo de 2021 hasta diciembre de 2022. Dos clínicos experimentados (S.M.M, B.F.) realizaron todos los procedimientos quirúrgicos. Otros dos clínicos (M.P, B.F.) realizaron todos los tratamientos prostéticos. Todos los pacientes dieron su consentimiento informado por escrito para el tratamiento. Se trató a cualquier paciente de 18 años o más, afectado por edentulismo total o con dentición no viable, y capaz de entender y firmar el consentimiento informado. No se trató a los pacientes si se aplicaba alguno de los siguientes criterios de exclusión: clase III o IV de la American Society of Anesthesiologist (ASA); embarazo o lactancia; abuso de alcohol o drogas; tabaquismo intenso (>10 cigarrillos/día); terapia de radiación en la región de la cabeza o el cuello en los últimos 5 años; y/o periodontitis no tratada.
Procedimientos quirúrgicos y protésicos
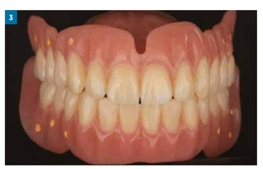
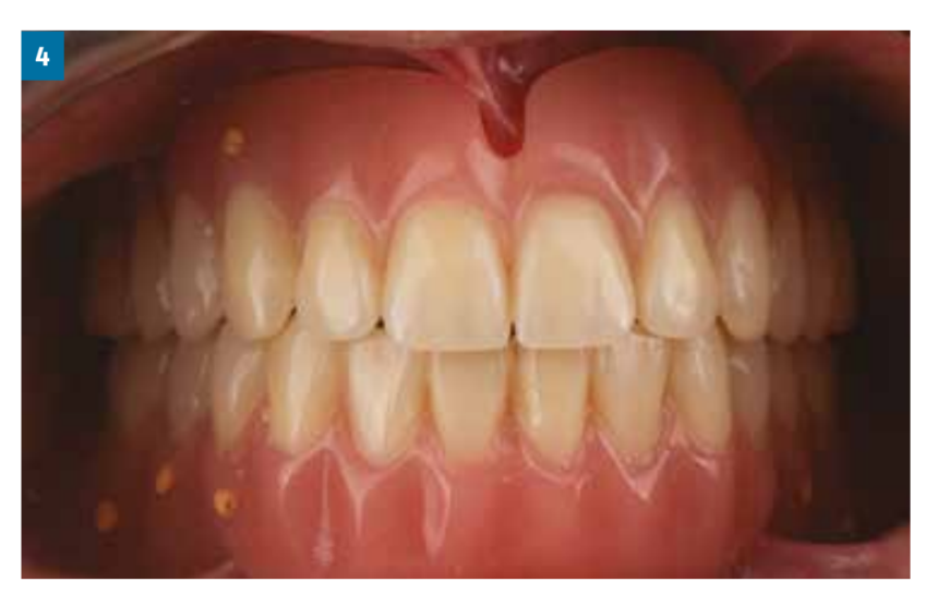
Todos los pacientes recibieron radiografías periapicales o panorámicas para el cribado y evaluación inicial. El flujo de trabajo de implantes y prótesis comenzó tomando una tomografía computarizada de haz cónico (CBCT) (Rayscan, Sulzbach, Alemania) para planificar la posición correcta del implante. Después de eso, se generó un modelo digital utilizando un escáner intraoral CS 3600 (Carestream Dental, Atlanta, GA, EE. UU.). En sujetos completamente edéntulos, se implementó finalmente un protocolo de doble escaneo. Específicamente, las prótesis se hicieron a partir de impresiones físicas; después de eso, se realizó una tomografía CBCT del paciente con la prótesis in situ, seguida de un escaneo único de la prótesis con puntos de referencia de gutapercha (Dentsply Sirona Italia, Roma, Italia) para obtener una coincidencia entre los dos conjuntos de datos (Figs. 1-4). Los datos digitales en formato de interfaz de Lenguaje de Teselación Estándar (datos STL) se importaron a un software de diseño 3D (Exocad DentalCAD, Exocad, Darmstadt, Alemania) para generar un modelo virtual de cera de acuerdo con los requisitos funcionales y estéticos y la planificación. Los datos STL y de Imágenes Digitales y Comunicaciones en Medicina (DICOM) se importaron a un software de planificación 3D (3Diagnosys, 3P Guide, Versión 4.2, 3DIEMME, Cantù, Italia) (Figs. 5, 6).






Los pacientes recibieron 2 g de amoxicilina + ácido clavulánico (Augmentin, GlaxoSmithKline, Londres, Reino Unido) una hora antes de la cirugía y 1 g dos veces al día durante una semana después. En caso de alergia a la penicilina, se administró clindamicina para la premedicación (600 mg una hora antes de la cirugía) y después de la cirugía (300 mg cuatro veces al día durante una semana). Se instruyó a los pacientes a enjuagarse con una solución de clorhexidina al 0.2% (Curasept, Curaden Healthcare, Saronno, Italia) durante un minuto antes de la cirugía, y se aplicó un campo quirúrgico estéril para minimizar la posible contaminación de fuentes extraorales. Se administró sedación oral con triazolam 0.50 mg (Triazolam Ratiopharm, Milán, Italia) antes de la cirugía. Se utilizó anestesia local (Septanest con adrenalina, 1/100000, Septodont, Mataró, España).
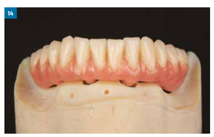
Tras la extracción de dientes no viables, se realizó una incisión media en el tejido queratinizado utilizando una hoja quirúrgica n. 15, y se levantó un mini colgajo de grosor completo. En tres sujetos, se realizó un protocolo sin colgajo. Todos los implantes (cono en 3P Implafavourite, Scalegne, Turín, Italia) se instalaron siguiendo un protocolo completamente guiado (Figs. 7, 8). En casos de baja densidad ósea, el sitio del implante fue subpreparado. Todos los implantes se insertaron con un par de inserción mínimo de 35 Ncm 0.0 mm a 1 mm por debajo del nivel óseo (Figs. 9, 10). Se insertaron conectores de nivel de tejido de cono Morse (base TLC 3P Implafavourite) (Figs. 11, 12). En casos post-extracción, el espacio entre el implante y la placa ósea vestibular se llenó con hueso bovino (Re-bone, Ubgen, Vigonza, Italia). Los colgajos se suturaron con suturas Vicryl 4-0 (Ethicon J&J International, Sint-Stevens Woluwe, Bélgica). Se iba a realizar una carga inmediata con una prótesis de resina de titanio prefabricada (Figs. 13, 14). Después, todos los pacientes recibieron recomendaciones orales y escritas sobre medicación, mantenimiento de la higiene oral con un agente antiséptico (clorhexidina al 0.2%, CURASEPT, Curaden) y dieta. Los pacientes fueron citados cada tres meses hasta un año después de la carga.








Medidas de resultado
Las tasas de supervivencia de implantes y prótesis y las complicaciones fueron las medidas de resultado primarias.
- Fallo del implante: cualquier extracción de implantes dictada por movilidad del implante, pérdida ósea marginal progresiva, infección o fractura del implante.
- Fallo de la prótesis: cualquier prótesis rehecha por cualquier motivo.
Se registraron complicaciones quirúrgicas, como infección o problemas intraoperatorios o postoperatorios, complicaciones protésicas (por ejemplo, fracturas, astillado, movilidad del pilar, prótesis prefabricada que no encaja) y complicaciones biológicas (infección de la herida o del implante, mucositis, abscesos o periimplantitis). Las complicaciones fueron evaluadas y tratadas por los mismos clínicos que originalmente trataron a los pacientes.
La medida de resultado secundaria fue la pérdida ósea marginal periimplantaria. Esto se calculó en radiografías periapicales digitales tomadas con la técnica de paralelogramo utilizando un soporte para película (Rinn XCP, Dentsply, Elgin, Illinois, EE. UU.) tanto en la colocación/carga del implante (línea base) como un año después de la carga. Las radiografías fueron aceptadas o rechazadas para evaluación según la claridad de las roscas del implante. Se calculó la distancia desde el margen más coronal del collar del implante hasta el punto más coronal de contacto hueso-implante. Todas las radiografías legibles se mostraron utilizando un software de análisis de imágenes (DFW2.8 para Windows, Soredex, Tuusula, Finlandia) en una pantalla LCD de 24 pulgadas (iMac, Apple, Cupertino, CA, EE. UU.) y se evaluaron bajo condiciones estandarizadas (SO 12646: 2004). El software fue calibrado para cada imagen individual utilizando la distancia conocida entre dos roscas de implante adyacentes. Se realizaron mediciones del nivel de cresta ósea mesial y distal adyacente a cada implante hasta el 0.01 mm más cercano y se promediaron a nivel del paciente.
Análisis estadístico
Todos los análisis se realizaron utilizando el software SPSS para Mac OS X (versión 22.0; SPSS, Chicago, Illinois, EE. UU.). Dos dentistas (M.T., M.D.) analizaron los datos. Se realizó un análisis descriptivo para los parámetros numéricos utilizando media ±SD e intervalo de confianza (IC) del 95%. Las diferencias en los niveles de hueso marginal medio a lo largo del tiempo se compararon utilizando pruebas t pareadas.
Resultados
Nueve pacientes (tres hombres y seis mujeres) con una edad media de 55±3.2 años recibieron 10 restauraciones de arco completo de titanio-resina, siete en la mandíbula inferior y tres en la superior. Todos los procedimientos se realizaron completamente guiados, y tres procedimientos se llevaron a cabo sin colgajo. En total, se insertaron 52 implantes de diámetro 4.5, 3.8 o 3.2 mm y longitud 10 o 13 mm, y se conectaron conectores de nivel de tejido de cono Morse (bases TLC, 3P Implafavourite) de 3.8 mm de diámetro y 1.5 o 2.5 mm de largo.
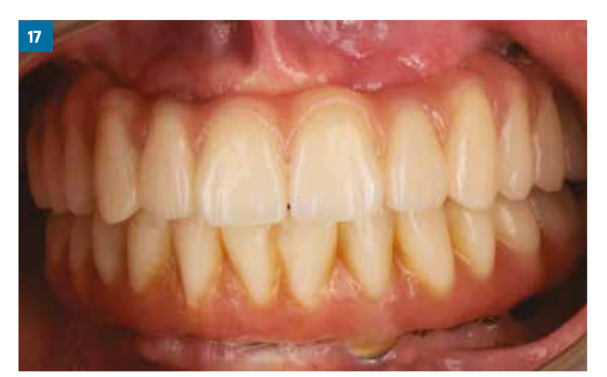
Un año después de la entrega de la prótesis, ningún paciente había abandonado, ningún implante o prótesis había fallado, y no habían surgido complicaciones quirúrgicas o biológicas. Sin embargo, las dos primeras prótesis prefabricadas obtenidas de un flujo de trabajo completamente digital, que debían ajustarse en dos pacientes consecutivos, no encajaron en los conectores de nivel de tejido de cono Morse; el desajuste se corrigió mediante un recubrimiento de resina intraoral después de la extracción del pilar de la prótesis, y atornillando esta última directamente a los conectores de nivel de tejido (Figs. 15A, B, 16, 17). Después de estos dos desajustes consecutivos, se cambió el protocolo: se tomó una impresión física intraoral y las otras ocho prótesis de arco cruzado se ajustaron 24 horas después de la cirugía (Figs. 18, 19). Solo se registraron dos complicaciones biomecánicas adicionales, ambas menores, a saber, dos eventos de astillado de resina en dos pacientes diferentes; en ambos casos fue suficiente pulir la resina con goma intraoralmente.





Un año después de la carga, la pérdida media de hueso marginal a nivel del paciente fue de 0.07±0.02 (IC del 95%: 0.05-0.08; Tabla 1) (Fig. 20).


Discusión
Los resultados de este estudio apoyan el uso de cirugía guiada por computadora y un remodelado óseo mínimo alrededor de implantes con conexión de cono Morse, pero no apoyan la adaptación de prótesis obtenidas a través de un flujo de trabajo completamente digital antes de la cirugía. Las principales preocupaciones que surgen de este estudio están relacionadas con el ajuste de la prótesis prefabricada. En los primeros dos casos tratados, la prótesis no se ajustó correctamente, y fue necesario reajustar la prótesis intraoralmente; posteriormente, se cambió el protocolo y la carga se realizó después de 24 horas.
En la odontología de implantes, el uso del flujo de trabajo digital se está desarrollando rápidamente, con un trabajo preciso y un menor número de etapas manuales en la práctica clínica. Las diversas etapas del tratamiento pueden parecer fáciles, pero el flujo de trabajo digital tiene una curva de aprendizaje exigente e incluye posibles desventajas como escaneos intraorales inexactos, variaciones en la posición del implante y desajustes en las prótesis. De hecho, para obtener un resultado preciso, es esencial tener conocimiento de diferentes programas de software para una planificación adecuada. Además, los programas de software utilizados para la planificación virtual en implantología requieren varios pasos que no siempre son fáciles de realizar, como segmentación, eliminación de artefactos, superposición de imágenes (DICOM/STL) y posicionamiento virtual del implante. Debido a esto, la presencia de numerosos puntos complejos durante las etapas de planificación podría llevar a errores y su acumulación, lo que puede resultar en fallos.
Uno de los primeros problemas observados en un protocolo completamente digital se refiere a la toma de impresiones. Zhang, en una revisión, mostró que las impresiones digitales de implantes de arco completo no son lo suficientemente precisas para la aplicación clínica. De manera similar, Andriessen, en un estudio piloto que comparó la efectividad de los escaneos intraorales digitales y los modelos de yeso preformados, mostró que los errores de distancia y angulación del implante en los escaneos eran demasiado grandes para permitir la fabricación de estructuras de implante bien ajustadas para mandíbulas edéntulas; la principal causa de escaneos poco fiables parecía ser la falta de puntos de referencia anatómicos para el escaneo.
Sin embargo, en lo que respecta a la técnica quirúrgica, la cirugía de implantes guiada suele ser más rápida que la cirugía tradicional a mano alzada, y resulta en mayor comodidad para el paciente en el período postoperatorio. La eficacia de la cirugía totalmente guiada en comparación con la cirugía a mano alzada para la colocación de implantes está documentada en la literatura, y varios autores como Gargallo-Albiol, Varga o Vercruyssen han mostrado diferencias estadísticamente significativas entre los diferentes protocolos, siendo la cirugía totalmente guiada la que presenta mayor precisión. Sin embargo, existe un problema respecto a la discrepancia entre la posición virtual del implante y la posición real en la cavidad oral. Una revisión sistemática realizada por Tahmaseb et al.16 mostró que puede existir una discrepancia entre las posiciones virtual y real del implante que asciende a un error medio total de 1.2 mm (1.04 mm a 1.44 mm) en el punto de entrada y 1.4 mm (1.28 mm a 1.58 mm) en el punto apical, así como una desviación de 3.5°(3.0° a 3.96°); no obstante, concluyeron que la cirugía de implantes estática computarizada es precisa, aunque con algunos errores, y que se debe respetar un margen de seguridad de al menos 2 mm.
En línea con estos hallazgos, hubo errores relacionados con el ajuste de la prótesis en nuestra serie de casos cuando se aplicó el protocolo completamente digital asociado con la cirugía de implantes estática computarizada; por lo tanto, después de dos casos consecutivos de evidente desajuste de la prótesis, se cambió el protocolo de carga para involucrar un flujo de trabajo analógico.
Deseamos subrayar que este tipo de prótesis retenida por tornillo de resina reforzada con titanio debe considerarse una prótesis temporal a medio plazo, especialmente si se rebasan intraoralmente. A menudo en nuestra práctica clínica, reemplazamos estas prótesis con prótesis de polimetilmetacrilato (PMMA) o resina acrílica sobre barra de titanio o cerámica de zirconia en prótesis de titanio asistidas por diseño asistido por computadora/fabricación asistida por computadora (CAD/CAM) después de dos a tres años.
Las principales limitaciones del presente estudio son el hecho de que fue una serie de casos, sin controles adecuados, el bajo número de pacientes tratados, la falta de evaluación independiente y el corto seguimiento. A pesar de estas limitaciones, la instalación de implantes asistida por computadora completamente guiada demostró ser fácilmente aplicable, y el conector de nivel de tejido de cono Morse simplificó el ajuste de la prótesis retenida por tornillo en implantes con conexión de cono Morse.
En nuestra opinión, los procedimientos descritos en este artículo pueden ser gestionados fácilmente por dentistas con habilidades de nivel medio en terapia de implantes. Para rehabilitar a pacientes edéntulos, sugerimos utilizar un flujo de trabajo digital y asistencia computarizada para la colocación de implantes; sin embargo, se debe evitar un flujo de trabajo completamente digital para la carga inmediata, prefiriendo en su lugar un procedimiento manual para el diseño y carga de la prótesis después de 24 horas.
Conclusiones
Los protocolos completamente digitales aún presentan varias limitaciones cuando se utilizan en rehabilitaciones complejas.
Milena Pisano, Dario Melodia, Marco Tallarico, Aurea Maria Inmacolata Lumbau, Edoardo Baldoni, Giovanni Spano
Referencias
- Emami E, De Souza RF, Kabawat M, Feine JS. El impacto del edentulismo en la salud oral y general. Int J Dent 2013;498305.
- Meloni SM, Melodia D, Tallarico M, Lumbau AMI, Baldoni E et al. Regeneración ósea guiada por computadora horizontal y vertical con membrana de pericardio bovino de lenta reabsorción: resultados de una serie de casos un año después de la carga. Clinical Trials in Dentistry 2022;4(4):12-22.
- Meloni SM, Tallarico M, Pisano M. Regeneración ósea vertical y horizontal guiada por computadora con láminas óseas personalizadas reabsorbibles llenas de 100% de hueso autólogo particulado: un informe de caso. Clinical Trials in Dentistry 2022;4(3):22-32.
- Tahmaseb A, Wismeijer D, Coucke W, Derksen W. Aplicaciones de tecnología computacional en odontología quirúrgica de implantes: una revisión sistemática. Int J Oral Maxillofac Implants 2014;29:25-42.
- Mangano F, Gandolfi A, Luongo G, Logozzo S. Escáneres intraorales en odontología: una revisión de la literatura actual. BMC Oral Health 2017;17:149.
- Meloni SM, De Riu G, Pisano M, Cattina G, Tullio A, Planificación de software de tratamiento de implantes y cirugía guiada sin colgajo con entrega inmediata de prótesis provisional en el maxilar completamente edéntulo. Un análisis retrospectivo de 15 pacientes tratados consecutivamente. Eur J Oral Implantol 2010;3(3):245-51.
- Arisan V, Karabuda CZ, Ozdemir T. Cirugía de implantes utilizando guías estereolitográficas soportadas por hueso y mucosa en mandíbulas totalmente edéntulas: resultados quirúrgicos y postoperatorios de técnicas asistidas por computadora vs. técnicas estándar. Clin Oral Implants Res 2010;21(9):980-8.
- Hultin M, Svensson KG, Trulsson M. Ventajas clínicas de la colocación de implantes guiada por computadora: una revisión sistemática. Clin Oral Implants Res 2012;23(6):124-35.
- Cicciù M, Tallarico M. Materiales de implantes dentales: estado actual y perspectivas futuras. Materials 2021;14:371.
- Meloni SM, Duvina M, Baldoni E, Tallarico M. Instalación de implantes guiada por computadora y carga inmediata de prótesis dental fija de arco cruzado - un estudio clínico prospectivo de 5 años. Clin Oral Impl Res 2018;29:97-97.
- Putra RH, Yoda N, Astuti ER, Sasaki K. La precisión de la colocación de implantes con cirugía guiada por computadora en pacientes parcialmente edéntulos y posibles factores influyentes: una revisión sistemática y metaanálisis. J Prosthodont Res 2022;66(1):29-39.
- D’haese J, Van De Velde T, Komiyama A, Hultin M, De Bruyn H. Precisión y complicaciones utilizando guías quirúrgicas estereolitográficas diseñadas por computadora para la rehabilitación oral mediante implantes dentales: una revisión de la literatura. Clin Implant Dent Relat Res 2012;14:321-35.
- Eckert SE, Meraw SJ, Cal E, Ow RK. Análisis de la incidencia y factores asociados con implantes fracturados: un estudio retrospectivo. Int J Oral Maxillofac Implants 2000;15(5):662-7.
- Vinci R, Manacorda M, Abundo R, Lucchina AG, Scarano A et al. Precisión de la cirugía de implantes asistida por computadora en edéntulos en comparación con la planificación virtual: un estudio multicéntrico retrospectivo. J Clin Med 2020;9:774.
- Shaikh M, Lakha T, Kheur S, Qamri B, Kheur M. ¿Tienen las impresiones digitales una mayor precisión para reconstrucciones soportadas por implantes de arco completo en comparación con las impresiones convencionales? Un estudio in vitro . J Indian Prosthodont Soc 2022;22(4):398-404.
- Tahmaseb A, Wu V, Wismeijer D, Coucke W, Evans C. La precisión de la cirugía de implantes asistida por computadora estática: una revisión sistemática y metaanálisis. Clin Oral Implants Res 2018;29(16):416-35.
- Vercruyssen M, Cox C, Naert I, Jacobs R, Teughels W, Quirynen M. Precisión y variables de resultado centradas en el paciente en cirugía de implantes guiada: un RCT que compara carga inmediata con carga retrasada. Clin Oral Impl Res 2016;27:427-32.
- Zhang YJ, Shi JY, Qian SJ, Qiao SC, Lai HC. Precisión de las impresiones digitales de implantes de arco completo tomadas con escáneres intraorales y variables relacionadas: una revisión sistemática. Int J Oral Implantol (Berl) 2021;14(2):157-79.
- Andriessen FS, Rijkens DR, Van der Meer WJ, Wismeijer DW. Aplicabilidad y precisión de un escáner intraoral para escanear múltiples implantes en mandíbulas edéntulas: un estudio piloto. J Prosthet Dent 2014;111(3):186-94.
- Schmidt A, Klussmann L, Wöstmann B, Schlenz MA. Precisión de impresiones digitales y convencionales de arco completo en pacientes: una actualización. J Clin Med 2020 4;9(3):688.
- Monaco C, Scheda L, Ciocca L, Zucchelli G. El concepto de prototipo en un flujo de trabajo de implantes completamente digital. J Am Dental Assoc 2018;149(10):918-23.
- Tatakis DN, Chien HH, Parashis AO. Riesgos de la cirugía de implantes guiada y su prevención. Periodontol 2000 2019;81(1):194-208.
- Kihara H, Hatakeyama W, Komine F, Takafuji K, Takahashi T et al. Precisión y practicidad del escáner intraoral en odontología: una revisión de la literatura. J Prosthodont Res 2020;64(2):109-13.
- Sommacal B, Savic M, Filippi A, Kühl S, Thieringer FM. Evaluación de dos impresoras 3D para cirugía de implantes guiada. Int J Oral Maxillofac Impl 2018;33(4):743-6.
- Hämmerle CH, Stone P, Jung RE, Kapos T, Brodala N. Declaraciones de consenso y procedimientos clínicos recomendados sobre odontología de implantes asistida por computadora. Int J Oral Maxillofac Impl 2009;24:126-31.
- Jaemsuwan S, Arunjaroensuk S, Kaboosaya B, Subbalekha K, Mattheos N, Pimkhaokham A. Comparación de la precisión de la posición del implante entre la colocación de implantes a mano alzada, cirugía asistida por computadora estática y dinámica en pacientes completamente edéntulos: un estudio prospectivo no aleatorizado. Int J Oral Maxillofac Surg 2023;52(2):264-71.
- Gargallo-Albiol J, Barootchi S, Marqués-Guasch J, Wang HL. Colocación de implantes completamente guiada versus semi-guiada y a mano alzada: revisión sistemática y metaanálisis. Int J Oral Maxillofac Implants 2020;35(6):1159-69.
- Varga E Jr, Antal M, Major L, Kiscsatári R, Braunitzer G, Piffkó J. La guía significa precisión: un ensayo clínico aleatorizado sobre la implantación dental a mano alzada versus guiada. Clin Oral Implants Res 2020;31(5):417-30.
- Vercruyssen M, Cox C, Coucke W, Naert I, Jacobs R, Quirynen M. Un ensayo clínico aleatorizado que compara la cirugía de implantes guiada (soportada por hueso o mucosa) con navegación mental o el uso de una plantilla de perforación piloto. J Clin Periodontol 2014;41(7):717-23.

/public-service/media/default/448/ldw1Z_671a19db7a6e4.jpg)
/public-service/media/default/449/b6RF5_671a1a15d2e1d.jpg)
/public-service/media/default/447/SX2vY_671a19c2a9542.jpg)
/public-service/media/default/444/U7CKu_671a1859b4df4.png)