Relevância clínica

As infindáveis discussões a respeito da existência de uma Relação Cêntrica (RC) pontual ou individualizada, restrita ou longa, reabilitar pacientes com alteração de Dimensão Vertical de Oclusão (DVO) em RC ou MIH (Máxima Intercuspidação Habitual), métodos desprogramadores e técnicas de registro das relações maxilo-mandibulares com o crânio são pormenorizadas quando se tem o paciente como protagonista do processo e compreende-se os mecanismos fisiológicos e mecânicos envolvidos no processo de perda de estabilidade e equilíbrio funcional assim como os mecanismos a serem alcançados na Re-Habilitação do sistema funcional para que atue com o máximo de estabilidade e equilíbrio ofertando longevidade do que se executa. Cientes dos vários caminhos ideológicos e respeitosos das inúmeras filosofias preconizadas, temos absoluta convicção dos passos preconizados para propor o 2and2 Concept como método racional de Re-Habilitação biomecânica de pacientes com alteração de DVO, com ou sem a presença associada de Parafunção. O uso de cerâmicas nos setores 01 e 02 (ântero-inferior e ântero-superior, respectivamente) é baseado no melhor desempenho mecânico do material para as forças biomecânicas exercidas de deslizamento e/ou roçamento, mantendo sua estabilidade dimensional e estética aplicada, promovendo consequentemente longevidade do sistema desoclusivo responsável pelo equilíbrio da Relação Cêntrica assim como da nova DVO proposta. E, a indicação de resinas compostas nos setores 03 e 04 (póstero-inferior e póstero-superior, respectivamente) também se deve pelo entendimento sólido na Literatura por apresen- tar o melhor desempenho mecânico nas forças exercidas nesse setor, compressivas; assim, a consolidação coadjuvante da nova DVO se faz presente sem interferências nos processos de desoclusão tendo em vista apresentar características necessárias ao conceito de resiliência e capacidade de auto-ajuste durante a etapa de adaptação funcional do sistema no decorrer dos anos seguintes.

Não importa o caminho escolhido nem tampouco os materiais de escolha, pois a história da literatura nos apresenta inúmeras possibilidades reabilitadoras. O 2and2 Concept é apenas mais um caminho, com uma sistematização lógica e racional do processo, fa cilitando o entendimento e a execução e, sobretudo, horizontalizando a Reabilitação Oral tornado-a possível a todos.

Figura 1: Planejamento Reabilitador Estético-Funcional a partir da análise de referências faciais. No caso em questão, o paciente apresenta importante discrepância entrelados, sobretudo durante a dinâmica do sorriso também em função de cicatriz presente no lábio superior do lado direito que poderá ser melhor observado nas fotos lábio-dentais.
Figura 2: Ausência de exposição dental em análise estática da relação lábio-dental, demonstrando discrepância com os parâmetros estéticos ideias para ogênero masculino em que a Literatura apresenta indicações de exposição de 2,0mm de bordo incisal dos incisivos centrais superiores.
Figura 3: Em análise dinâmica da relação lábio-dental, nota-se uma hiperatividade labial superior e inferior do lado direito além da planificação dos bordos incisais em função desgastes gerados pela Parafunção diagnosticada.
Figura 4: Em manipulação induzida, o paciente apresenta evidente discrepância entre as posições de Relação Cêntrica e Máxima Intercuspidação Habitual. Situação de considerável gravidade quando da somatória de sinais e sintomas levando ao diagnóstico de Parafunção o que gera instabilidade e desequilíbrio do processo funcional.
Figuras 5-6: Em desoclusão, observa-se o desequilíbrio funcional com desgastes correspondentes posteriores bilateralmente caracterizando a implosão do sistema funcional.
Figuras 7-9: Em destaque, observa-se os desgastes de estruturas funcionais dos setores 01 e 02 e perda de plus dos caninos caracterizando a perda de guias anteriores e consequente perda da proteção sistema funcional.
Figura 10: Arco Facial Elite®, Bioart registrado para a devida transferência ao Articulador Semi-Ajustável das relações horizontais e verticais da maxila em relação ao crânio.
Figura 11.
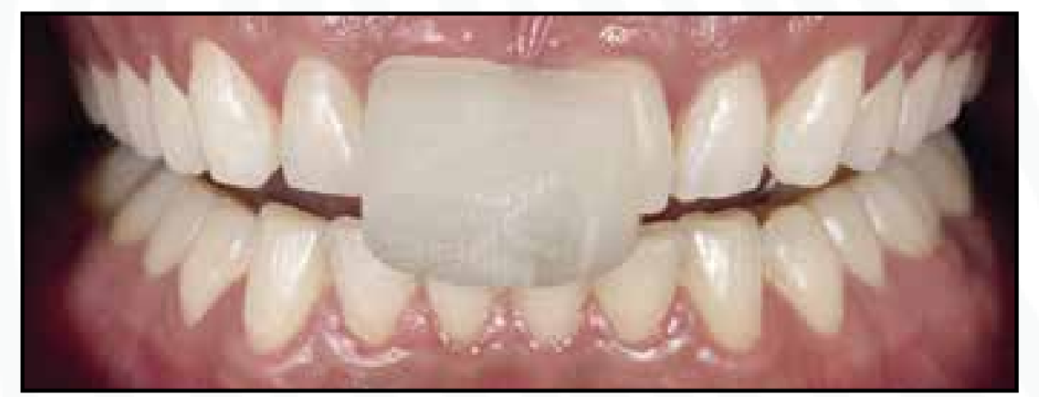
Figuras 11-13: Jig de Lucia confeccionado e instalado para registro da relação maxilo-mandibular para montagem do Articulador Semi-Ajustável, desprogramação do sistema neuromuscular e consequente registro da Relação Cêntrica como ponto de partida do diagnóstico e Planejamento Reabilitador Estético-Funcional.
Figura 13.
Figura 14: Planejamento Reabilitador Estético-Funcional baseado no conceito CAS e Setorização, estabelece-se com o enceramento exclusivamente dos setores 01 e 02 (ântero-inferior e ântero-superior) o contato bilateral e simultâneo de caninos e acoplamento dos incisivos. Essa é uma das etapas racionais e de fácil aplicação clínica que faz parte do método 2and2Concept.
Figura 15.
Figura 16.
Figuras 15-17: Instalação de mock-up funcional destacando o contato bilateral e simultâneo em caninos, acoplamento de incisivos, espaço protético uniforme posterior e restabelecimento de guias de desoclusão canina.
Figura 18: Confirmando a nova Dimensão Vertical de Oclusão, guias de desoclusão canina e a manutenção da Relação Cêntrica como ponto de partida para a nova Reabilitação, registra-se a relação maxilo-mandibular.
Figuras 19-20: Moldes obtidos com silicone por adição Express XT®, 3M ESPE.
Figuras 21-22: Modelos de gesso montados em Articulador Semi-Ajustável A7 Plus®, Bioart a partir dos moldes e registros obtidos após o mock-up funcional conferido em boca.
Figuras 23-24: Restaurações em resina composta confeccionadas pelo Prof. Dr. Luis Gustavo Barrotte Albino, aplicando a técnica NEDS - Substituição Natural de Esmalte e Dentina em convergência aos padrões funcionais exigidos: Curva de Spee, Curva de Wilson e Alinhamento Tridimensional.
Figuras 25-26: Em Articulador Semi-Ajustável, confere-se os padrões oclusais de engrenamento e funcionais de desilusões das restaurações em resina composta mantendo a técnica 2and2Concept como método racional de reabilitações de pacientes com perda de DVO associada a Parafunção.
Figura 27: Apresenta-se de maneira inédita o Guia de Cimentação Adesiva idealizado em conjunto pelos autores como instrumento facilitador do processo de cimentação, mantendo o padrão funcional das restaurações minimizando erros de posicionamento das peças e consequentes ajustes.
Figura 28: Em visão frontal, destaque das peças cimentadas nos setores 03 (póstero-inferior) e 04 (póstero-superior) caracterizando a aplicação do alinhamento tridimensional idealizado sem ajustes das peças pós-cimentação devido ao uso do Guia de Cimentação Adesiva.
Figura 29: Ajustes nos substratos do setor 02 para correta inserção e adaptação das peças cerâmicas a serem confeccionadas.
Figura 30.
Figura 31. Registros oclusais das relações maxilo-mandibulares e moldes obtidos com silicone por adição Express XT®, 3M ESPE.
Figura 32: Destaque da textura superficial das cerâmicas confeccionadas peloCeramista Leonardo Bocabella.
Figuras 33-44: Após a realização da etapa de prova com pastas Try-In do sistema RelyX Veneer®, 3M ESPE, realiza-se a sequência do processo de cimentação adesiva cerâmica finalizando com a adequada fotopolimerização com Elipar Deep Cure®, 3M ESPE e remoção minuciosa dos excessos com Espátula Eccesso®, LM Dental sob pena de interferência de adaptação das peças adjacentes.
Figura 35.
Figura 36.
Figura 37.
Figura 38.
Figura 39.
Figura 40.
Figura 41.
Figura 42.
Figura 43.
Figura 44.
Figura 45: Resultado intra-oral imediato à cimentação, conquistando padrões estéticos desejados com integração entre substrato e peças cerâmicas.
Figura 46: Com movimento de rotação sem interferências, o sistema apresenta total engrenamento dos elementos dentais reabilitados no método 2and2Concept, re-habilitando o paciente em Máxima Intercuspidação com Conforto Articular.
Figuras 47-48.
Figura 49. Guias de desoclusão Anterior e Caninas conferidas, ofertando equilíbrio ao sistema funcional.
Figura 50: Imagem da relação estática lábio-dental destacando a exposição de bordo incisal com lábios em repouso em convergência com os padrões ideias.
Figura 51: Imagem da relação dinâmica lábio-dental destacando o protagonismo estético dos Incisivos Centrais e a formação de curva ascendente para posterior dos bordos incisais.
Figuras 52-53: Imagens oclusais superior e inferior, destacando a reabilitação estético-funcional no método 2and2Concept em que preconizamos o uso de resinas compostas nos setores 03 e 04 (posteriores inferior e superior) e materiais cerâmicos nos setores 01 e 02 (anteriores inferior e superior) como forma de restabelecer o melhor desempenho dos sistemas mecânicos envolvidos no processo funcional. Obviamente que isso só é possível quando se obedece os preceitos básicos de uma reabilitação funcional, restaurando as Curvas de Spee, Wilson, Alinhamento Tridimensional e Morfologia Aplicação à Função.
Figura 54: Destaque das peças cerâmicas confeccionadas pelo Ceramista Leonardo Bocabella instaladas exercendo a função estética e, sobretudo, funcional de deslizamento das guias anterior e caninas.
Figura 55: Imagens comparativas destacando a naturalidade do resultado.
Figura 56: Quando o paciente é o protagonista do desenvolvimento de técnicas e conceitos, promove-se sempre resultados naturais, esteticamente satisfatórios e a promoção de saúde com a re-habilitação de pacientes parafuncionais, com perdas de estrutura dental e sinais clínicos de sofrimento crônico. A partir desse ponto, a reabilitação das estruturas funcionais deve ser mantida e preservada com o uso contínuo de placas oclusais rígidas e, assim, controlar a severidade das consequências da Parafunção.

 

Referências

  1. Abduo J. Safety of increasing vertical dimension of occlusion: A systematic review. QDT. 2012.
  2. Albino LGB, Gradinar O, Cardoso PC, Decurcio RA. A new concept in oral rehabilitation: 2and2 CONCEPT. Clínica - International Journal of Brazilian Dentistry, Florianópolis, v. 15, n. 3, p. 200-215, jul./set. 2019.
  3. Alonso AA. Desoclusión • Alineación Tridimensional y Oclusión. Quintessence Editora. Edição: 1ª/2020.
  4. Andrews LF. The six keys to normal occlusion. AJO-DO. 1972.
  5. Baladhandayutham B, Lawson NC, Burgess JO. Fracture load of ceramic restorations after fatigue loading. J Prost Dent. 2015.
  6. Calamita M, Coachman C, Sesma N, Kois J. Occlusal vertical dimension: treatment planning decisions and management considerations. Int J Esthet Dent. 2019.
  7. Da Rosa Rodolpho PA, Donassollo TA, Cenci MS, Loguércio AD, Moraes RR, Bronkhorst EM, Opdam NJ, Demarco FF. 22-Year clinical evaluation of the performance of two posterior composites with different filler characteristics. Dent Mater. 2011.
  8. Y Katoh, Y Taira, C Kato, M Suzuki, K Shinkai. A case report of a 20 year clinical follow-up of porcelain laminate veneer restorations. Operative Dentistry. 2009.
  9. Magne P, Schlichting LH, Maia HP, Baratieri LN. In vitro fatigue resistance of CAD/CAM composite resin and ceramic posterior occlusal veneers. J Prost Dent. 2010.
  10. Opdam NJ et al. Longevity of posterior composite restorations: a systematic review and meta-analysis. J Dent Res. 2014.
  11. Schlichting LH, Maia HP, Baratieri LN, Magne P. Novel-Design ultra-thin CAD/CAM composite resin and ceramic occlusal veneers for the treatment of severe dental erosion. J Prost Dent. 2011.
  12. Wiens JP, Goldstein GR, Andrawis M, Choi M, Priebe JW. Defining centric relation. J Prost. Dent. Jul 2018.